CLICK HERE for Free Report on the benefits of Dental Bleaching.
The procedure can be done in one of two different ways.
The in-office procedure uses a laser bleaching light, and can be completed in the dental office in just one hour.
The second method, called at-home bleaching, involves the fabrication of custom bleaching trays, and takes longer, but works just as well.
In either case, the result is whiter teeth and a healthier smile.
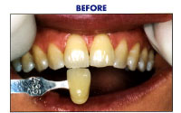
Here is an example of what teeth bleaching can do


Second bleaching example - with minor orthodontics


Please note: Not all cases show this much change. But, as you can see, the results can be very dramatic.
(Click on the banner above for your FREE Dental Report)
If you have any further questions about teeth whitening - its methods or safety, or
any other dental bleaching matter, please feel free to contact me at the email address
below. I will be happy to return your message promptly.
drwaleadeleke@yahoo.com
You may also contact us directly on our Web site, and leave any questions or comments that you may have.
Finally, if you would like to set up an examination to have us look at your teeth and discuss the benefits of whitening for you, please call us at 0803-318-1698
.
Your Sincerely,
Dr. Wale Adeleke
| Dental Emergencies | Bad Breath | Patient Education | Newsletter | About Dr. Adeleke | About Our Office | Map | Dental Resources | Our Guarantee | Gag Reflex Relief | Value Certified | Dental Health Insurance | Payment Plans | Contact Us
Copyright © 2023 Dr. Wale Adeleke BDS. All Rights reserved.